
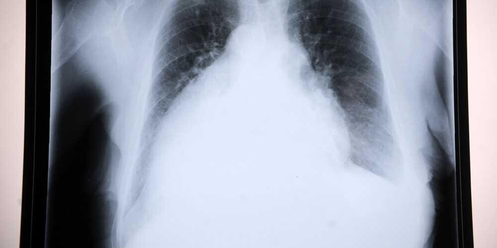
Туберкулез - широко распространённое в мире инфекционное заболевание человека и животных, вызываемое различными видами микобактерий из группы Mycobacterium tuberculosis complex, или иначе палочками Коха. Туберкулез обычно поражает легкие, реже затрагивая другие органы и системы. Mycobacterium tuberculosis передается воздушно-капельным путем при разговоре, кашле и чихании больного. Чаще всего после инфицирования микобактериями заболевание протекает в бессимптомной, скрытой форме, но примерно один из десяти случаев скрытой инфекции, в конце концов, переходит в активную форму. Для человека заболевание является социально зависимым.
Туберкулез - широко распространённое в мире инфекционное заболевание человека и животных, вызываемое различными видами микобактерий из группы Mycobacterium tuberculosis complex, или иначе палочками Коха. Туберкулез обычно поражает легкие, реже затрагивая другие органы и системы. Mycobacterium tuberculosis передается воздушно-капельным путем при разговоре, кашле и чихании больного. Чаще всего после инфицирования микобактериями заболевание протекает в бессимптомной, скрытой форме, но примерно один из десяти случаев скрытой инфекции, в конце концов, переходит в активную форму. Для человека заболевание является социально зависимым.